아산유외과의원
menu
icon1
온라인상담
icon2
온라인예약
icon3
오시는길
icon4
진료시간
icon1
로그인
icon2
회원가입
icon3
ID/비번찾기
원장소개
병원소개
맘모톰클리닉
유방암클리닉
갑상선클리닉
암진단사례
건강TV
home
암진단 사례
암진단 사례
아산유외과
암진단 사례
입니다.
내용보기
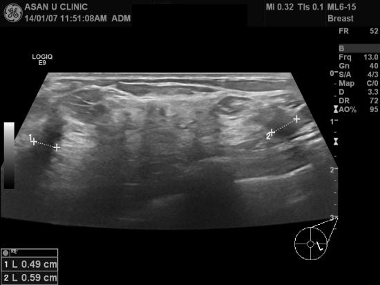
아산유외과 개원 후 54번째 유방암 진단.
작성자
관리***
등록일
2014-10-17 19:05:04
조회수
804
첨부파일
첨부파일 없음
건강검진으로 실시한 유방검진상 이상소견있어 내원한
52세 여성분입니다.
본원 유방초음파로 좌측유방에 0.6cm미만의 두개의 혹을 찾아 조직검사를 시행하였고
겨드랑이에는 림프절의 비대소견 없어 세침검사를 하지 않았읍니다.
유방의 두 혹 모두 침윤성 유관암으로 나와
치료위해 전원되었습니다.
아주 작은 혹이었지만
만져지지도 않지만
적절한 건강검진 덕분에 조기진단에 성공한 예입니다.
빠른쾌유를 기도합니다.
감사합니다.
0개의 코멘트가 있습니다.
이름
제목
내용
검색
게시판 입니다
번호
제목
작성자
등록일
76
아산유외과 개원 후 58번째 유방암 진단.
관리***
2014.10.17
75
아산유외과 개원 후 17번째 갑상선암 진단.
관리***
2014.10.17
74
아산유외과 개원 후 57번째 유방암 진단.
관리***
2014.10.17
73
아산유외과 개원 후 56번째 유방암 진단.
관리***
2014.10.17
72
아산유외과 개원 후 55번째 유방암 진단.
관리***
2014.10.17
71
아산유외과 개원 후 54번째 유방암 진단.
관리***
2014.10.17
70
아산유외과 개원 후 53번째 유방암 진단.
관리***
2014.10.17
69
아산유외과 개원 후 52번째 유방암 진단.
관리***
2014.10.17
68
아산유외과 개원 후 16번째 갑상선암 진단.
관리***
2014.10.17
67
아산유외과 개원 후 15번째 갑상선암 진단.
관리***
2014.10.17
66
아산유외과 개원 후 51번째 유방암진단
관리***
2014.10.17
65
아산유외과 개원 후 50번째 유방암진단
관리***
2014.10.17
64
아산유외과 개원 후 49번째 유방암진단
관리***
2014.10.17
63
아산유외과 개원 후 48번째 유방암진단
관리***
2014.10.17
62
아산유외과 개원 후 47번째 유방암진단.
관리***
2014.10.17
<<
61
62
63
64
65
66
67
68
69
70
>>