아산유외과의원
menu
icon1
온라인상담
icon2
온라인예약
icon3
오시는길
icon4
진료시간
icon1
로그인
icon2
회원가입
icon3
ID/비번찾기
원장소개
병원소개
맘모톰클리닉
유방암클리닉
갑상선클리닉
암진단사례
건강TV
home
암진단 사례
암진단 사례
아산유외과
암진단 사례
입니다.
내용보기
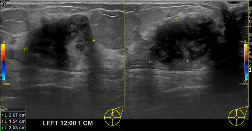
아산유외과개원후 741번째 유방암진단
작성자
관리***
등록일
2020-09-22 11:20:48
조회수
874
첨부파일
첨부파일 없음
상기환자 외부검진상 이상소견으로 조직검사권유받고 내원하신 70대 여성분으로 좌측유방멍울 조직검사 시행 후 유방암 진단되었습니다.
0개의 코멘트가 있습니다.
이름
제목
내용
검색
게시판 입니다
번호
제목
작성자
등록일
736
아산유외과개원후 743번쨰 유방암진단
관리***
2020.10.05
735
아산유외과개원후 742번째 유방암진단
관리***
2020.09.29
734
아산유외과개원후 741번째 유방암진단
관리***
2020.09.22
733
아산유외과개원후 740번째 유방암진단
관리***
2020.09.07
732
아산유외과개원후 739번째 유방암진단
관리***
2020.08.19
731
아산유외과개원후 738번째 유방암진단
관리***
2020.08.06
730
아산유외과개원후 737번째 유방암진단
관리***
2020.07.27
729
아산유외과개원후 736번째 유방암진단
관리***
2020.07.18
728
아산유외과개원후 735번째 유방암진단
관리***
2020.07.13
727
아산유외과개원후 734번째 유방암진단
관리***
2020.07.06
726
아산유외과개원후 733번째 유방암진단
관리***
2020.06.25
725
아산유외과개원후 732번째 유방암진단
관리***
2020.06.16
724
아산유외과개원후 731번째 유방암진단
관리***
2020.06.08
723
아산유외과개원후 730번째 유방암진단
관리***
2020.05.21
722
아산유외과개원후 729번째 유방암진단
관리***
2020.04.29
<<
21
22
23
24
25
26
27
28
29
30
>>