아산유외과의원
menu
icon1
온라인상담
icon2
온라인예약
icon3
오시는길
icon4
진료시간
icon1
로그인
icon2
회원가입
icon3
ID/비번찾기
원장소개
병원소개
맘모톰클리닉
유방암클리닉
갑상선클리닉
암진단사례
건강TV
home
암진단 사례
암진단 사례
아산유외과
암진단 사례
입니다.
내용보기
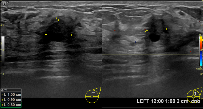
아산유외과개원후 730번째 유방암진단
작성자
관리***
등록일
2020-05-21 17:55:14
조회수
949
첨부파일
730.서정애(11595).PNG
상기환자 건진상 이상소견으로 조직검사권유받고 내원하신 60대 여성분으로 좌측유방멍울 조직검사시행후 유방암 진단되었습니다.
0개의 코멘트가 있습니다.
이름
제목
내용
검색
게시판 입니다
번호
제목
작성자
등록일
736
아산유외과개원후 743번쨰 유방암진단
관리***
2020.10.05
735
아산유외과개원후 742번째 유방암진단
관리***
2020.09.29
734
아산유외과개원후 741번째 유방암진단
관리***
2020.09.22
733
아산유외과개원후 740번째 유방암진단
관리***
2020.09.07
732
아산유외과개원후 739번째 유방암진단
관리***
2020.08.19
731
아산유외과개원후 738번째 유방암진단
관리***
2020.08.06
730
아산유외과개원후 737번째 유방암진단
관리***
2020.07.27
729
아산유외과개원후 736번째 유방암진단
관리***
2020.07.18
728
아산유외과개원후 735번째 유방암진단
관리***
2020.07.13
727
아산유외과개원후 734번째 유방암진단
관리***
2020.07.06
726
아산유외과개원후 733번째 유방암진단
관리***
2020.06.25
725
아산유외과개원후 732번째 유방암진단
관리***
2020.06.16
724
아산유외과개원후 731번째 유방암진단
관리***
2020.06.08
723
아산유외과개원후 730번째 유방암진단
관리***
2020.05.21
722
아산유외과개원후 729번째 유방암진단
관리***
2020.04.29
<<
21
22
23
24
25
26
27
28
29
30
>>