아산유외과의원
menu
icon1
온라인상담
icon2
온라인예약
icon3
오시는길
icon4
진료시간
icon1
로그인
icon2
회원가입
icon3
ID/비번찾기
원장소개
병원소개
맘모톰클리닉
유방암클리닉
갑상선클리닉
암진단사례
건강TV
home
암진단 사례
암진단 사례
아산유외과
암진단 사례
입니다.
내용보기
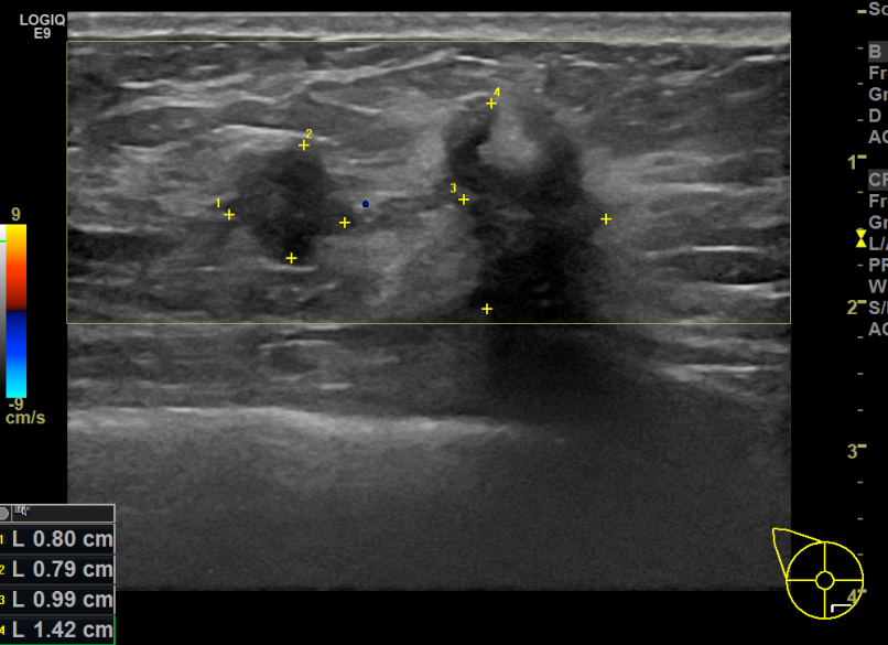
아산유외과개원후 725번째 유방암진단
작성자
관리***
등록일
2020-03-18 12:34:30
조회수
874
첨부파일
첨부파일 없음
상기환자 외부건진상 이상소견으로 조직검사권유받고 내원하신 40대 여성분으로 우측에다발로유방멍울 조직검사시행후 유방암 진단되었습니다.
0개의 코멘트가 있습니다.
이름
제목
내용
검색
게시판 입니다
번호
제목
작성자
등록일
721
아산유외과개원후 728번째 유방암진단
관리***
2020.04.18
720
아산유외과개원후 727번째 유방암진단
관리***
2020.04.09
719
아산유외과개원후 726번째 유방암진단
관리***
2020.03.31
718
아산유외과개원후 725번째 유방암진단
관리***
2020.03.18
717
아산유외과개원후 724번째 유방암진단
관리***
2020.03.10
716
아산유외과개원후 723번째 유방암진단
관리***
2020.03.05
715
아산유외과개원후 722번째 유방암진단
관리***
2020.02.28
714
아산유외과개원후 721번째 유방암진단
관리***
2020.02.18
713
아산유외과개원후 720번째 유방암진단
관리***
2020.02.12
712
아산유외과개원후 719번째 유방암진단
관리***
2020.02.05
711
아산유외과개원후 718번째 유방암진단
관리***
2020.01.30
710
아산유외과개원후 717번째 유방암진단
관리***
2020.01.22
709
아산유외과개원후 716번째 유방암진단
관리***
2020.01.13
708
아산유외과개원후 715번째 유방암진단
관리***
2020.01.06
707
아산유외과개원후 714번째 유방암진단
관리***
2019.12.27
<<
21
22
23
24
25
26
27
28
29
30
>>