암진단 사례

아산유외과
암진단 사례입니다.

내용보기
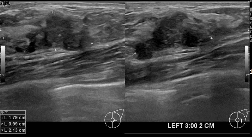
아산유외과개원후 720번째 유방암진단
작성자 관리*** 등록일 2020-02-12 10:54:05 조회수 867
첨부파일 720.박형라(11410).JPG

상기환자는 중국에서 유방암확진을 받은 후에 서울에서 치료를받고자 내원하신 40대 여성분입니다. 침윤성유방암진단되어 3차의료기관 의뢰드렸습니다.  

0개의 코멘트가 있습니다.