아산유외과의원
menu
icon1
온라인상담
icon2
온라인예약
icon3
오시는길
icon4
진료시간
icon1
로그인
icon2
회원가입
icon3
ID/비번찾기
원장소개
병원소개
맘모톰클리닉
유방암클리닉
갑상선클리닉
암진단사례
건강TV
home
암진단 사례
암진단 사례
아산유외과
암진단 사례
입니다.
내용보기
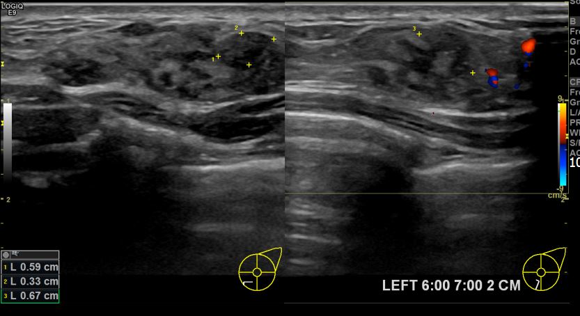
아산유외과개원후 702번째 유방암진단
작성자
관리***
등록일
2019-10-18 15:21:26
조회수
780
첨부파일
첨부파일 없음
상기환자 좌측유방에 딱딱한 멍울이만져져 내원하신 30대여성분으로 좌측유방의 혹 조직검사시행후 유방암 진단되었습니다.
0개의 코멘트가 있습니다.
이름
제목
내용
검색
게시판 입니다
번호
제목
작성자
등록일
706
아산유외과개원후 713번째 유방암진단
관리***
2019.12.20
705
아산유외과개원후 712번째 유방암진단
관리***
2019.12.16
704
아산유외과개원후 711번째 유방암진단
관리***
2019.12.11
703
아산유외과개원후 710번째 유방암진단
관리***
2019.12.04
702
아산유외과개원후 709번째 유방암진단
관리***
2019.11.28
701
아산유외과개원후 708번째 유방암진단
관리***
2019.11.20
700
아산유외과개원후 707번째 유방암진단
관리***
2019.11.16
699
아산유외과개원후 706번째 유방암진단
관리***
2019.11.13
698
아산유외과개원후 705번째 유방암진단
관리***
2019.11.05
697
아산유외과개원후 704번째 유방암진단
관리***
2019.10.30
696
아산유외과개원후 703번째 유방암진단
관리***
2019.10.21
695
아산유외과개원후 702번째 유방암진단
관리***
2019.10.18
694
아산유외과개원후 701번째 유방암진단
관리***
2019.10.15
693
아산유외과개원후 700번째 유방암진단
관리***
2019.10.07
692
아산유외과개원후 699번째유방암진단
관리***
2019.10.02
<<
21
22
23
24
25
26
27
28
29
30
>>