아산유외과의원
menu
icon1
온라인상담
icon2
온라인예약
icon3
오시는길
icon4
진료시간
icon1
로그인
icon2
회원가입
icon3
ID/비번찾기
원장소개
병원소개
맘모톰클리닉
유방암클리닉
갑상선클리닉
암진단사례
건강TV
home
암진단 사례
암진단 사례
아산유외과
암진단 사례
입니다.
내용보기
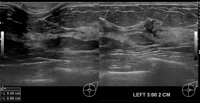
아산유외과개원후 694번째 유방암진단
작성자
관리***
등록일
2019-09-10 14:58:05
조회수
770
첨부파일
첨부파일 없음
상기환자 건진상 이상소견으로내원하신 40대 여성분으로 좌측유방멍울 조직검사시행후 유방암 진단되었습니다
0개의 코멘트가 있습니다.
이름
제목
내용
검색
게시판 입니다
번호
제목
작성자
등록일
691
아산유외과개원후 698번째 유방암진단
관리***
2019.09.27
690
아산유외과개원후 697번째 유방암진단
관리***
2019.09.24
689
아산유외과개원후 696번째 유방암진단
관리***
2019.09.20
688
아산유외과개원후 695번째 유방암진단
관리***
2019.09.17
687
아산유외과개원후 694번째 유방암진단
관리***
2019.09.10
686
아산유외과개원후 693번째 유방암진단
관리***
2019.08.28
685
아산유외과개원후 692번째 유방암진단
관리***
2019.08.24
684
아산유외과개원후 691번째 유방암진단
관리***
2019.08.20
683
아산유외과개원후 690번째 유방암진단
관리***
2019.08.16
682
아산유외과개원후 689번째 유방암진단
관리***
2019.08.10
681
아산유외과개원후 688번째 유방암진단
관리***
2019.08.06
680
아산유외과개원후 687번째 유방암진단
관리***
2019.07.30
679
아산유외과개원후 686번째 유방암진단
관리***
2019.07.25
678
아산유외과개원후 685번째 유방암진단
관리***
2019.07.20
677
아산유외과개원후 684번째 유방암진단
관리***
2019.07.16
<<
21
22
23
24
25
26
27
28
29
30
>>