아산유외과의원
menu
icon1
온라인상담
icon2
온라인예약
icon3
오시는길
icon4
진료시간
icon1
로그인
icon2
회원가입
icon3
ID/비번찾기
원장소개
병원소개
맘모톰클리닉
유방암클리닉
갑상선클리닉
암진단사례
건강TV
home
암진단 사례
암진단 사례
아산유외과
암진단 사례
입니다.
내용보기
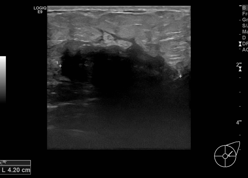
아산유외과개원후 688번째 유방암진단
작성자
관리***
등록일
2019-08-06 16:55:36
조회수
775
첨부파일
첨부파일 없음
상기환자 만져진멍울있어 내원하신 60대여성분으로 좌측유방
의심스러운 혹 조직검사시행후 유방암 진단되었습니다
0개의 코멘트가 있습니다.
이름
제목
내용
검색
게시판 입니다
번호
제목
작성자
등록일
691
아산유외과개원후 698번째 유방암진단
관리***
2019.09.27
690
아산유외과개원후 697번째 유방암진단
관리***
2019.09.24
689
아산유외과개원후 696번째 유방암진단
관리***
2019.09.20
688
아산유외과개원후 695번째 유방암진단
관리***
2019.09.17
687
아산유외과개원후 694번째 유방암진단
관리***
2019.09.10
686
아산유외과개원후 693번째 유방암진단
관리***
2019.08.28
685
아산유외과개원후 692번째 유방암진단
관리***
2019.08.24
684
아산유외과개원후 691번째 유방암진단
관리***
2019.08.20
683
아산유외과개원후 690번째 유방암진단
관리***
2019.08.16
682
아산유외과개원후 689번째 유방암진단
관리***
2019.08.10
681
아산유외과개원후 688번째 유방암진단
관리***
2019.08.06
680
아산유외과개원후 687번째 유방암진단
관리***
2019.07.30
679
아산유외과개원후 686번째 유방암진단
관리***
2019.07.25
678
아산유외과개원후 685번째 유방암진단
관리***
2019.07.20
677
아산유외과개원후 684번째 유방암진단
관리***
2019.07.16
<<
21
22
23
24
25
26
27
28
29
30
>>