암진단 사례

아산유외과
암진단 사례입니다.

내용보기
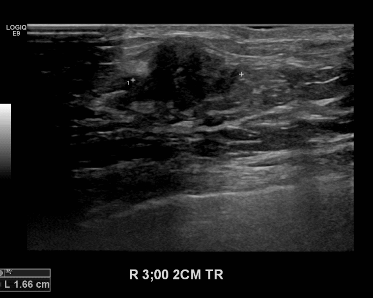
아산유외과 개원후 680번째 유방암 진단
작성자 관리*** 등록일 2019-06-27 15:26:39 조회수 1014
첨부파일 첨부파일 없음


상기환자 우측유방의 만져지는 멍울있어 내원하신 50대 여성으로 유방초음파검사 이후

의심스러운 혹 조직검사시행후 유방암 진단되었습니다

 

0개의 코멘트가 있습니다.