암진단 사례

아산유외과
암진단 사례입니다.

내용보기
아산유외과 개원 후 48번째 유방암진단
작성자 관리*** 등록일 2014-10-17 18:44:50 조회수 744
첨부파일 첨부파일 없음

 
 
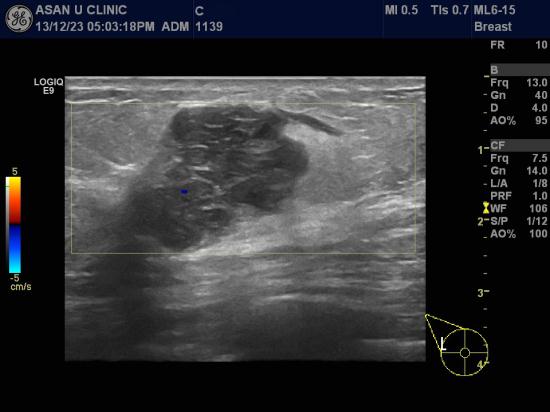
우측유방 외측에 갑자기 만져지는 혹이 있어 내원한 50세 여성분입니다.

본원 유방초음파 통해 3.48cm의 커다란 혹이었으나

여름까지 없다가 갑자기 만져졌다고 합니다.

조직검사상 침윤성 유방암 진단되었고

다행이도 겨드랑이 임파절에는 전이된 조직이 없었습니다.

물론, 최종결과는 수술을 해봐야 압니다.

이렇듯, 개개인의 유방의 치밀도나 혹의 위치에 따라

갑자기 만져지는 듯 여겨지는 혹들이 있습니다.

그러나, '짠' 하고 나타나는 것이 아니어서

조금씩 자라다가 손끝의 감각이나 주위조직의 탄성에 따라

어느날 느껴지게 됩니다.

자가검진의 중요성입니다.

감사합니다.

0개의 코멘트가 있습니다.