아산유외과의원
menu
icon1
온라인상담
icon2
온라인예약
icon3
오시는길
icon4
진료시간
icon1
로그인
icon2
회원가입
icon3
ID/비번찾기
원장소개
병원소개
맘모톰클리닉
유방암클리닉
갑상선클리닉
암진단사례
건강TV
home
암진단 사례
암진단 사례
아산유외과
암진단 사례
입니다.
내용보기
아산유외과개원후 669번째 유방암진단
작성자
관리***
등록일
2019-05-20 14:35:32
조회수
809
첨부파일
첨부파일 없음
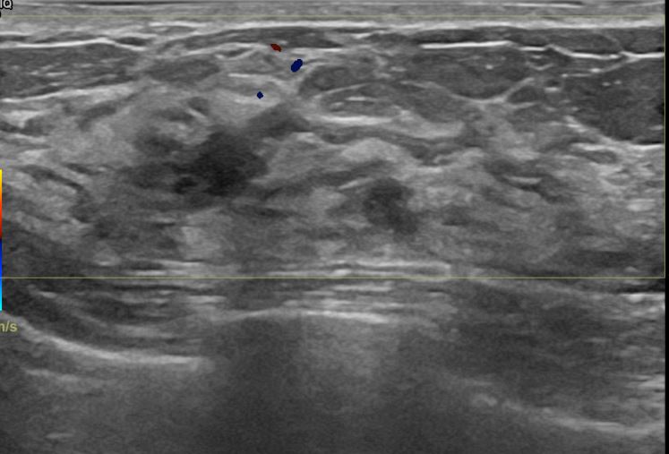
상기환자 외부검사상 이상소견으로 내원하신 40대여성으로 우측에 의심스러운혹 조직검사시행해 유방암 진단되었습니다.
0개의 코멘트가 있습니다.
이름
제목
내용
검색
게시판 입니다
번호
제목
작성자
등록일
676
아산유외과개원후 683번째 유방암진단
관리***
2019.07.09
675
아산유외과개원후 682번째 유방암진단
관리***
2019.07.04
674
아산유외과개원후 681번째 유방암진단
관리***
2019.06.29
673
아산유외과 개원후 680번째 유방암 진단
관리***
2019.06.27
672
아산유외과개원후 679번째 유방암진단
관리***
2019.06.25
671
아산유외과개원후 678번째 유방암진단
관리***
2019.06.15
670
아산유외과개원후 677번째 유방암진단
관리***
2019.06.13
669
아산유외과개원후 676번째 유방암진단
관리***
2019.06.11
668
아산유외과개원후 675번째 유방암진단
관리***
2019.06.07
667
아산유외과개원후 674번째 유방암진단
관리***
2019.06.04
666
아산유외과개원후 673번째 유방암진단
관리***
2019.05.30
665
아산유외과개원후 672번째 유방암진단
관리***
2019.05.27
664
아산유외과개원후 671번째 유방암진단
관리***
2019.05.24
663
아산유외과개원후 670번째 유방암진단
관리***
2019.05.22
662
아산유외과개원후 669번째 유방암진단
관리***
2019.05.20
<<
21
22
23
24
25
26
27
28
29
30
>>