암진단 사례

아산유외과
암진단 사례입니다.

내용보기
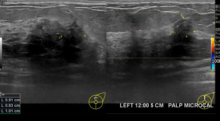
아산유외과개원후 660번째 유방암진단
작성자 관리*** 등록일 2019-04-22 10:53:36 조회수 843
첨부파일 첨부파일 없음

상기환자 외부검사상이상소견으로 내원해주신 60대여성분으로 좌측유방에 관찰된 미세석회부분조직검사하여 유방암진단되셨습니다. 

0개의 코멘트가 있습니다.