암진단 사례

아산유외과
암진단 사례입니다.

내용보기
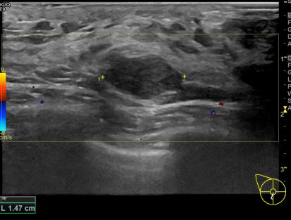
아산유외과개원후 659번째 유방암진단
작성자 관리*** 등록일 2019-04-17 10:06:33 조회수 830
첨부파일 첨부파일 없음

상기환자 외부검사상 이상소견으로 내원하신 30대여성으로 우측에 의심스러운혹 조직검사시행해 유방암 진단되었습니다.    

0개의 코멘트가 있습니다.