아산유외과의원
menu
icon1
온라인상담
icon2
온라인예약
icon3
오시는길
icon4
진료시간
icon1
로그인
icon2
회원가입
icon3
ID/비번찾기
원장소개
병원소개
맘모톰클리닉
유방암클리닉
갑상선클리닉
암진단사례
건강TV
home
암진단 사례
암진단 사례
아산유외과
암진단 사례
입니다.
내용보기
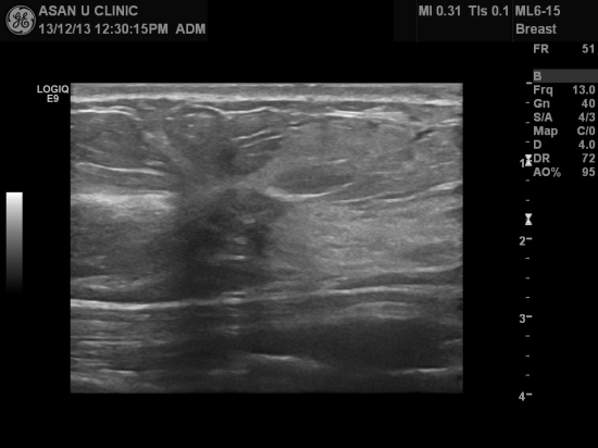
아산유외과 개원 후 45번째 유방암진단.
작성자
관리***
등록일
2014-10-17 18:40:11
조회수
782
첨부파일
첨부파일 없음
우측 유방에 만져지는 멍우리 있어 내원하신 50세 여성분입니다.
1.52cm의 결절있어 조직검사하였고 침윤성 유방암으로 진단 되셨습니다.
우리나라 여성의 대부분은 40대에서 50대에 유방암이 진단됩니다.
만져지는 혹이 없고 가족력이 없더라도
유방이 정상인지 점검해보실 필요가 있습니다.
감사합니다.
0개의 코멘트가 있습니다.
이름
제목
내용
검색
게시판 입니다
번호
제목
작성자
등록일
61
아산유외과 개원 후 46번째 유방암진단.
관리***
2014.10.17
60
아산유외과 개원 후 45번째 유방암진단.
관리***
2014.10.17
59
아산유외과 개원 후 44번째 유방암진단.
관리***
2014.10.17
58
아산유외과 개원 후 43번째 유방암진단.
관리***
2014.10.17
57
아산유외과 개원 후 42번째 유방암진단.
관리***
2014.10.17
56
아산유외과 개원 후 14번째 갑상선암 진단.
관리***
2014.10.17
55
아산유외과 개원후 41번째 유방암진단.
관리***
2014.10.17
54
아산유외과 개원후 40번째 유방암진단.
관리***
2014.10.17
53
아산유외과 개원 후 13번째 갑상선암 진단.
관리***
2014.10.17
52
아산유외과 개원 후 12번째 갑상선암 진단.
관리***
2014.10.17
51
아산유외과 개원후 39번째 유방암진단.
관리***
2014.10.17
50
아산유외과 개원후 38번째 유방암진단.
관리***
2014.10.17
49
아산유외과 개원후 37번째 유방암진단.
관리***
2014.10.17
48
아산유외과 개원후 36번째 유방암진단.
관리***
2014.10.17
47
아산유외과 개원 후 35번째 유방암진단.
관리***
2014.10.17
<<
61
62
63
64
65
66
67
68
69
70
>>