아산유외과의원
menu
icon1
온라인상담
icon2
온라인예약
icon3
오시는길
icon4
진료시간
icon1
로그인
icon2
회원가입
icon3
ID/비번찾기
원장소개
병원소개
맘모톰클리닉
유방암클리닉
갑상선클리닉
암진단사례
건강TV
home
암진단 사례
암진단 사례
아산유외과
암진단 사례
입니다.
내용보기
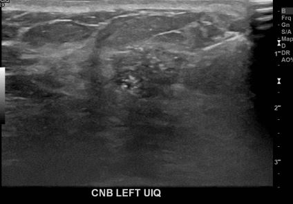
아산유외과개원후 646번째 유방암진단
작성자
관리***
등록일
2019-03-08 11:03:33
조회수
770
첨부파일
첨부파일 없음
상기환자 외부검사상 이상소견으로 내원하신 50대여성으로 좌측유방의 의심스러혹
조직검사시행해 유방암 진단되었습니다.
0개의 코멘트가 있습니다.
이름
제목
내용
검색
게시판 입니다
번호
제목
작성자
등록일
646
아산유외과개원후 653번째 유방암진단
관리***
2019.04.03
645
아산유외과개원후652번째유방암진단
관리***
2019.04.01
644
아산유외과개원후 48번째 갑상선암진단
관리***
2019.03.30
643
아산유외과개원후 651번째 전이암진단
관리***
2019.03.28
642
아산유외과개원후 47번째 갑상선암진단
관리***
2019.03.22
641
아산유외과개원후 650번째 유방암진단
관리***
2019.03.20
640
아산유외과개원후649번째 유방암진단
관리***
2019.03.18
639
아산유외과개원후 46번째 갑상선암진단
관리***
2019.03.15
638
아산유외과개원후 648번째 유방암진단
관리***
2019.03.11
637
아산유외과개원후 646번째 유방암진단
관리***
2019.03.08
636
아산유외과개원후 645번째 유방암진단
관리***
2019.03.06
635
아산유외과개원후 644번째 유방암진단
관리***
2019.03.04
634
아산유외과개원후 643번째 유방암진단
관리***
2019.02.28
633
아산유외과 개원후 642번째 유방암진단
관리***
2019.02.25
632
아산유외과 개원후 641번째 유방암진단
관리***
2019.02.21
<<
21
22
23
24
25
26
27
28
29
30
>>