암진단 사례

아산유외과
암진단 사례입니다.

내용보기
아산유외과 개원후 631번째 유방암 진단
작성자 관리*** 등록일 2019-01-18 14:25:08 조회수 757
첨부파일 첨부파일 없음

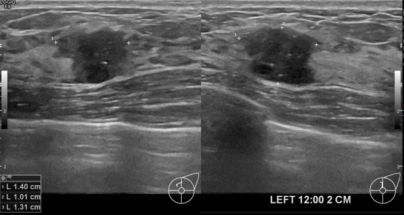
상기환자 외부검사상 이상소견으로 내원하신 40대여성으로 좌측유방의 의심스러혹

조직검사시행해 유방암 진단되었읍니다 
 

0개의 코멘트가 있습니다.