아산유외과의원
menu
icon1
온라인상담
icon2
온라인예약
icon3
오시는길
icon4
진료시간
icon1
로그인
icon2
회원가입
icon3
ID/비번찾기
원장소개
병원소개
맘모톰클리닉
유방암클리닉
갑상선클리닉
암진단사례
건강TV
home
암진단 사례
암진단 사례
아산유외과
암진단 사례
입니다.
내용보기
아산유외과 개원후 629번째 유방암 진단
작성자
관리***
등록일
2019-01-14 12:26:25
조회수
766
첨부파일
첨부파일 없음
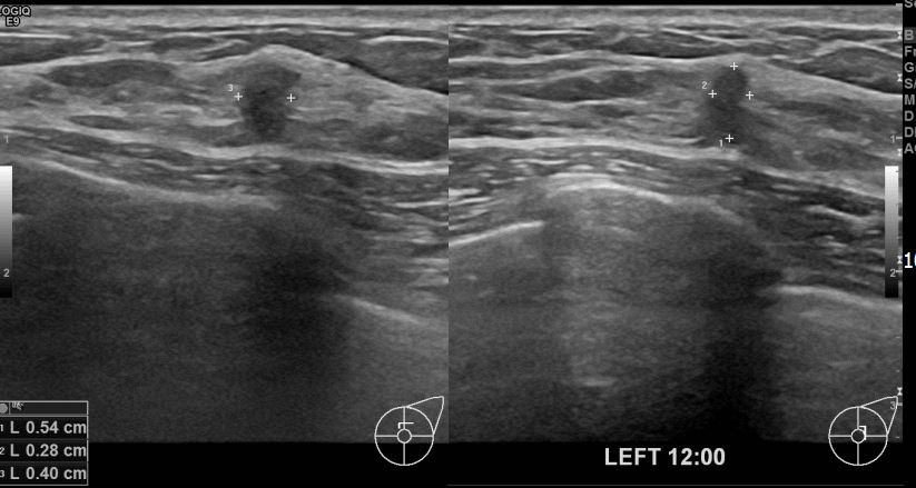
상기 환자 외부검사상 이상소견으로 내원하신 40대 여성으로 좌측에 의심스러운혹있어 조직검사 시행후 좌측 유방암 진단되었습니다.
0개의 코멘트가 있습니다.
이름
제목
내용
검색
게시판 입니다
번호
제목
작성자
등록일
631
아산유외과 개원후 640번째 유방암진단
관리***
2019.02.19
630
아산유외과 개원후 639번째 유방암진단
관리***
2019.02.16
629
아산유외과 개원후 638번째유방암진단
관리***
2019.02.13
628
아산유외과 개원후 637번째 유방암진단
관리***
2019.02.11
627
아산유외과 개원후 636번째 유방암진단
관리***
2019.02.08
626
아산유외과 개원후 635번째 유방암진단
관리***
2019.01.30
625
아산유외과개원후 634번째 유방암환자
관리***
2019.01.28
624
아산유외과 개원후 633번째 유방암진단
관리***
2019.01.24
623
아산유외과 개원후 632번째 유방암진단
관리***
2019.01.21
622
아산유외과 개원후 631번째 유방암 진단
관리***
2019.01.18
621
아산유외과 개원후 630번재 유방암 진단
관리***
2019.01.16
620
아산유외과 개원후 629번째 유방암 진단
관리***
2019.01.14
619
아산유외과 개원후 628번째 유방암진단
관리***
2019.01.10
618
아산유외과 개원후 625번째 유방암 진단
관리***
2019.01.07
617
아산유외과 개원후 624번째 유방암 진단
관리***
2019.01.02
<<
21
22
23
24
25
26
27
28
29
30
>>