암진단 사례

아산유외과
암진단 사례입니다.

내용보기
아산유외과 개원후 623번째 유방암진단
작성자 관리*** 등록일 2018-12-28 15:39:45 조회수 787
첨부파일 첨부파일 없음

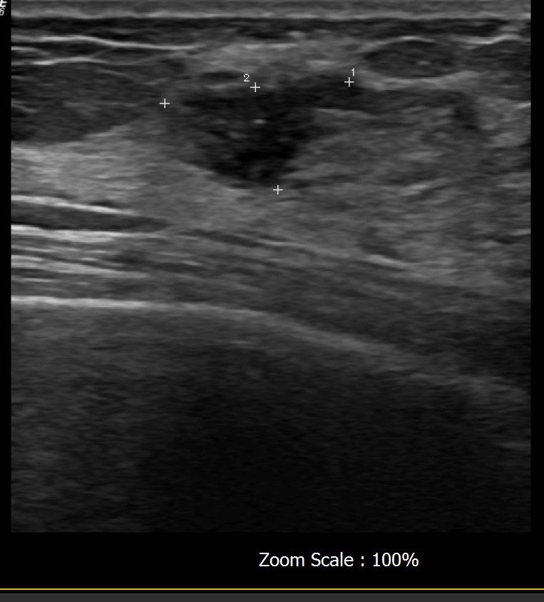
상기 환자 외부검사상 이상소견으로 내원하신 40대 여성으로 우측에 의심스러운혹있어 조직검사 시행후 유방암 진단되었습니다.  

0개의 코멘트가 있습니다.