아산유외과의원
menu
icon1
온라인상담
icon2
온라인예약
icon3
오시는길
icon4
진료시간
icon1
로그인
icon2
회원가입
icon3
ID/비번찾기
원장소개
병원소개
맘모톰클리닉
유방암클리닉
갑상선클리닉
암진단사례
건강TV
home
암진단 사례
암진단 사례
아산유외과
암진단 사례
입니다.
내용보기
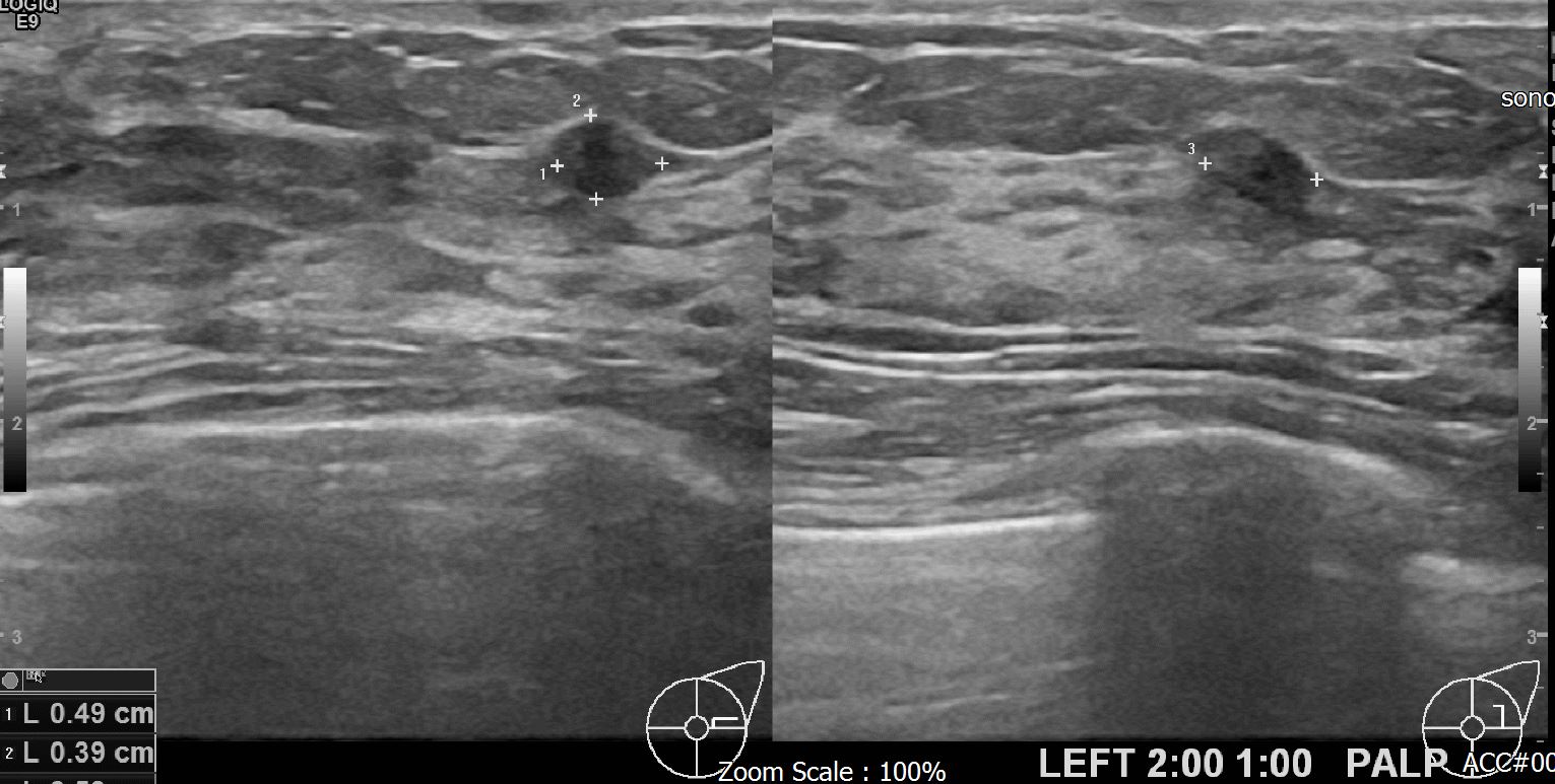
아산유외과 개원후 620번째 유방암 진단
작성자
관리***
등록일
2018-12-17 10:38:42
조회수
789
첨부파일
첨부파일 없음
상기 환자 외부검사상 이상소견으로 내원하신 30대 여성분으로 좌측에 의심스러운 혹 조직검사 시행후 유방암 진단 되었습니다.
0개의 코멘트가 있습니다.
이름
제목
내용
검색
게시판 입니다
번호
제목
작성자
등록일
616
아산유외과 개원후 623번째 유방암진단
관리***
2018.12.28
615
아산유외과 개원후 622번째 유방암진단
관리***
2018.12.26
614
아산유외과 개원후 621번째 유방암 진단
관리***
2018.12.21
613
아산유외과 개원후 620번째 유방암 진단
관리***
2018.12.17
612
아산 유외과 개원후 619번째 유방암 진단
관리***
2018.12.14
611
아산유외과 개원후 618번째 유방암진단
관리***
2018.12.12
610
아산유외과 개원후 617번째 유방암진단
관리***
2018.12.06
609
아산유외과 개원후 616번째 유방암 진단
관리***
2018.12.04
608
아산유외과 개원후 615번째 유방암 진단
관리***
2018.11.27
607
아산유외과 개원후 614번째 유방암 진단
관리***
2018.11.19
606
아산유외과 개원후 613번째 유방암 진단
관리***
2018.11.16
605
아산유외과 개원후 612번째 유방암 진단
관리***
2018.11.12
604
아산유외과 개원후 611번째 유방암 진단
관리***
2018.11.05
603
아산유외과 개원후 610 번째 유방암진단
관리***
2018.11.02
602
아산유외과 개원후 609번째 유방암진단
관리***
2018.10.30
<<
21
22
23
24
25
26
27
28
29
30
>>