아산유외과의원
menu
icon1
온라인상담
icon2
온라인예약
icon3
오시는길
icon4
진료시간
icon1
로그인
icon2
회원가입
icon3
ID/비번찾기
원장소개
병원소개
맘모톰클리닉
유방암클리닉
갑상선클리닉
암진단사례
건강TV
home
암진단 사례
암진단 사례
아산유외과
암진단 사례
입니다.
내용보기
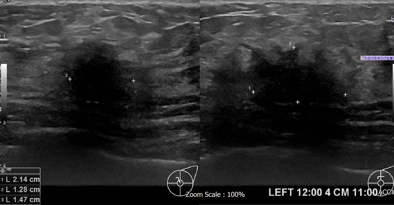
아산유외과 개원후 618번째 유방암진단
작성자
관리***
등록일
2018-12-12 11:56:23
조회수
774
첨부파일
첨부파일 없음
상기환자 외부검사상이상소견으로 내원하신 50대 여성으로 좌측유방에 의심스러운혹있어 조직검사시행후 유방암진단되었습니다.
0개의 코멘트가 있습니다.
이름
제목
내용
검색
게시판 입니다
번호
제목
작성자
등록일
616
아산유외과 개원후 623번째 유방암진단
관리***
2018.12.28
615
아산유외과 개원후 622번째 유방암진단
관리***
2018.12.26
614
아산유외과 개원후 621번째 유방암 진단
관리***
2018.12.21
613
아산유외과 개원후 620번째 유방암 진단
관리***
2018.12.17
612
아산 유외과 개원후 619번째 유방암 진단
관리***
2018.12.14
611
아산유외과 개원후 618번째 유방암진단
관리***
2018.12.12
610
아산유외과 개원후 617번째 유방암진단
관리***
2018.12.06
609
아산유외과 개원후 616번째 유방암 진단
관리***
2018.12.04
608
아산유외과 개원후 615번째 유방암 진단
관리***
2018.11.27
607
아산유외과 개원후 614번째 유방암 진단
관리***
2018.11.19
606
아산유외과 개원후 613번째 유방암 진단
관리***
2018.11.16
605
아산유외과 개원후 612번째 유방암 진단
관리***
2018.11.12
604
아산유외과 개원후 611번째 유방암 진단
관리***
2018.11.05
603
아산유외과 개원후 610 번째 유방암진단
관리***
2018.11.02
602
아산유외과 개원후 609번째 유방암진단
관리***
2018.10.30
<<
21
22
23
24
25
26
27
28
29
30
>>