암진단 사례

아산유외과
암진단 사례입니다.

내용보기
아산유외과 개원후 613번째 유방암 진단
작성자 관리*** 등록일 2018-11-16 10:41:20 조회수 785
첨부파일 첨부파일 없음

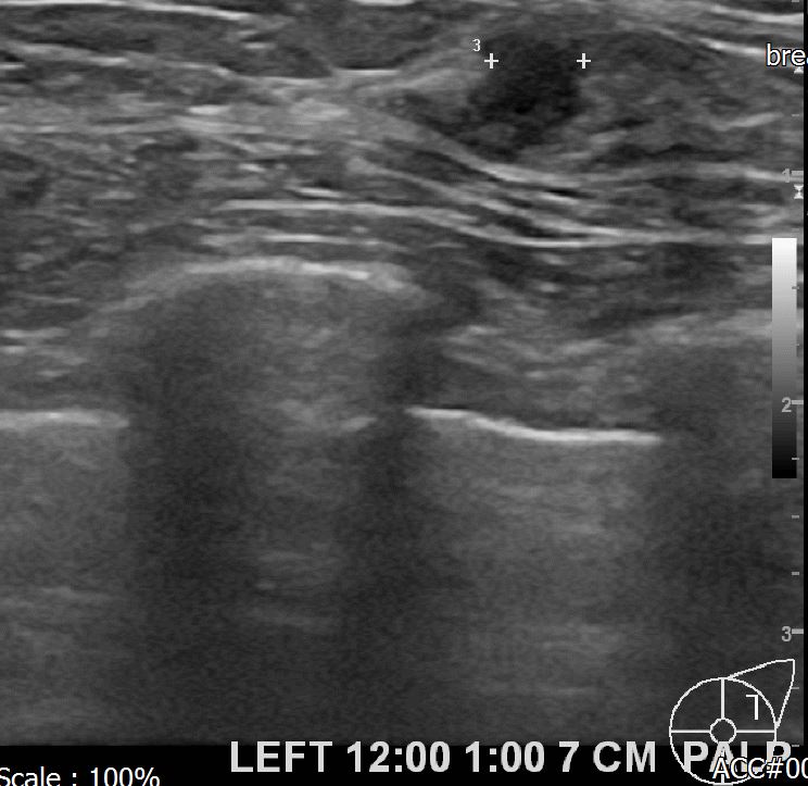
상기환자 좌측의 유방의 만져지는 멍울있어 내원하신40대후반의 여성분으로

초음파시행후 의심스런혹 조직검사후 유방암으로 진단되었습니다

의심스러 

0개의 코멘트가 있습니다.