아산유외과의원
menu
icon1
온라인상담
icon2
온라인예약
icon3
오시는길
icon4
진료시간
icon1
로그인
icon2
회원가입
icon3
ID/비번찾기
원장소개
병원소개
맘모톰클리닉
유방암클리닉
갑상선클리닉
암진단사례
건강TV
home
암진단 사례
암진단 사례
아산유외과
암진단 사례
입니다.
내용보기
아산유외과 개원후 41번째 유방암진단.
작성자
관리***
등록일
2014-10-17 16:03:28
조회수
747
첨부파일
첨부파일 없음
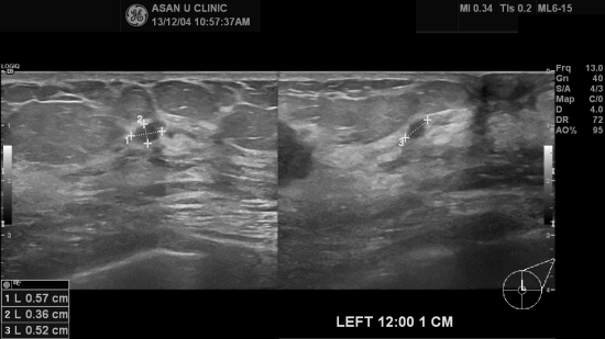
만져지는 유방불편감있어 조직검사의뢰된 분으로
40대가 체 안되신 분입니다.
'공단검진도 안나왔는데 유방암 검사를 시작해야하나요?'
안타깝게 물어보시네요.
1.9cm, 0.5cm, 0.4cm 의 세개의 혹이 좌측 유방 12시방향에 흩어져 있었고
조직검사상 침윤성 유방암으로 확인되었습니다.
40대부터 공단검진으로 유방암검사가 시작되기는 하지만
이른 나이에 생기는 분들도 없진 않습니다.
빠른 쾌유를 돕겠습니다.
감사합니다.
0개의 코멘트가 있습니다.
이름
제목
내용
검색
게시판 입니다
번호
제목
작성자
등록일
61
아산유외과 개원 후 46번째 유방암진단.
관리***
2014.10.17
60
아산유외과 개원 후 45번째 유방암진단.
관리***
2014.10.17
59
아산유외과 개원 후 44번째 유방암진단.
관리***
2014.10.17
58
아산유외과 개원 후 43번째 유방암진단.
관리***
2014.10.17
57
아산유외과 개원 후 42번째 유방암진단.
관리***
2014.10.17
56
아산유외과 개원 후 14번째 갑상선암 진단.
관리***
2014.10.17
55
아산유외과 개원후 41번째 유방암진단.
관리***
2014.10.17
54
아산유외과 개원후 40번째 유방암진단.
관리***
2014.10.17
53
아산유외과 개원 후 13번째 갑상선암 진단.
관리***
2014.10.17
52
아산유외과 개원 후 12번째 갑상선암 진단.
관리***
2014.10.17
51
아산유외과 개원후 39번째 유방암진단.
관리***
2014.10.17
50
아산유외과 개원후 38번째 유방암진단.
관리***
2014.10.17
49
아산유외과 개원후 37번째 유방암진단.
관리***
2014.10.17
48
아산유외과 개원후 36번째 유방암진단.
관리***
2014.10.17
47
아산유외과 개원 후 35번째 유방암진단.
관리***
2014.10.17
<<
61
62
63
64
65
66
67
68
69
70
>>