암진단 사례

아산유외과
암진단 사례입니다.

내용보기
아산유외과 개원후 608번째 유방암진단
작성자 관리*** 등록일 2018-10-26 12:11:44 조회수 955
첨부파일 첨부파일 없음

 

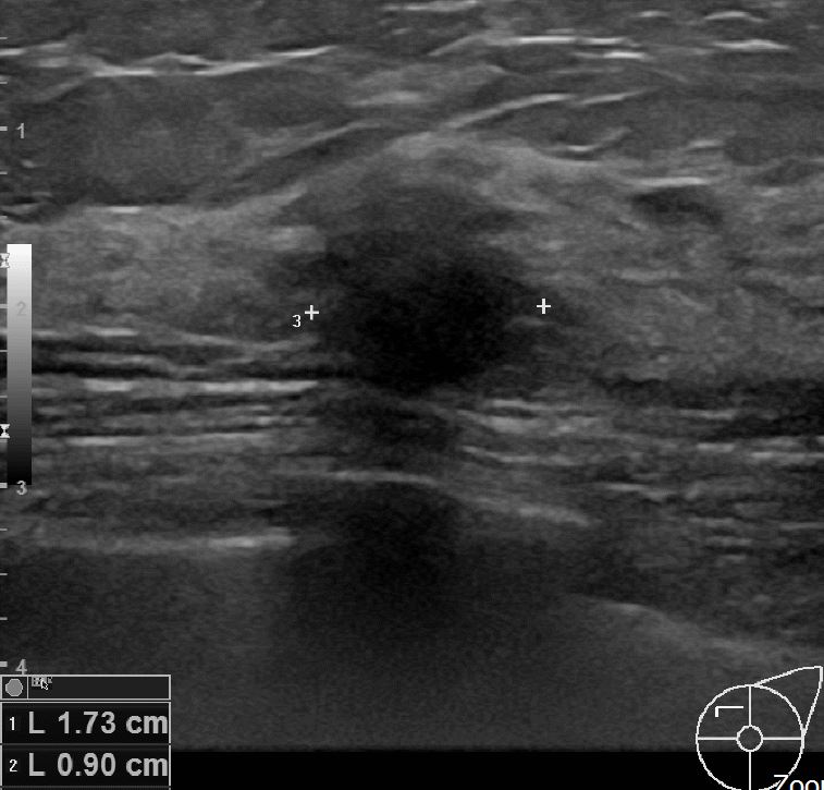
상기환자 외부검사상 이상소견으로 내원하신 50대 여성분으로 초음파 검사 후 좌측유방 의심스러운혹 조직검사 시행한 후 유방암진단 되었습니다. 

0개의 코멘트가 있습니다.