암진단 사례

아산유외과
암진단 사례입니다.

내용보기
아산유외과 개원후 605번째 유방암 진단
작성자 관리*** 등록일 2018-10-15 15:18:52 조회수 796
첨부파일 첨부파일 없음


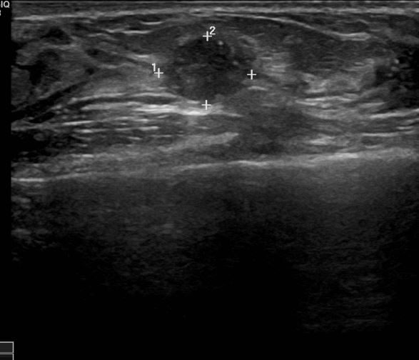
외부검사상 이상소견으로 내원하신 40대 여성분으로 우측유방 조직검사시행후

유방암으로 진단되었읍니다. 

0개의 코멘트가 있습니다.