아산유외과의원
menu
icon1
온라인상담
icon2
온라인예약
icon3
오시는길
icon4
진료시간
icon1
로그인
icon2
회원가입
icon3
ID/비번찾기
원장소개
병원소개
맘모톰클리닉
유방암클리닉
갑상선클리닉
암진단사례
건강TV
home
암진단 사례
암진단 사례
아산유외과
암진단 사례
입니다.
내용보기
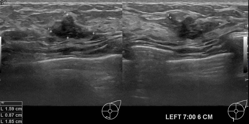
아산유외과 개원후 602번째 유방암 진단
작성자
관리***
등록일
2018-09-04 12:46:20
조회수
853
첨부파일
첨부파일 없음
상기환자 왼쪽가슴의 딱딱해지는 멍울있어 내원하신 30대 여성분으로 초음파검사후 의심스러운 혹 조직검사진행해 유방암 진단되었읍니다.
0개의 코멘트가 있습니다.
이름
제목
내용
검색
게시판 입니다
번호
제목
작성자
등록일
601
아산유외과 개원후 608번째 유방암진단
관리***
2018.10.26
600
아산유외과 개원후 607번째 유방암 진단
관리***
2018.10.22
599
아산유외과 개원후 606번째 유방암 진단
관리***
2018.10.18
598
아산유외과 개원후 605번째 유방암 진단
관리***
2018.10.15
597
아산유외과 개원후 604번째 유방암 진단
관리***
2018.10.02
596
아산유외과 개원후 603번째 유방암진단
관리***
2018.09.28
595
아산유외과 개원후 45번째 갑상선암 진단
관리***
2018.09.14
594
아산유외과 개원후 602번째 유방암 진단
관리***
2018.09.04
593
아산유외과 개원후 601번째 유방암 진단
관리***
2018.08.20
592
아산유외과 개원후 44번째 갑상선암 진단
관리***
2018.08.10
591
아산유외과 개원후 600번째 유방암진단
관리***
2018.08.08
590
아산유외과 개원후 599번째 유방암 진단
관리***
2018.07.28
589
아산유외과 개원후 598번째 유방암 진단
관리***
2018.07.24
588
아산유외과 개원후 597번째 유방암 진단
관리***
2018.07.20
587
아산유외과 개원후 596번째 유방암진단
관리***
2018.07.16
<<
31
32
33
34
35
36
37
38
39
40
>>