암진단 사례

아산유외과
암진단 사례입니다.

내용보기
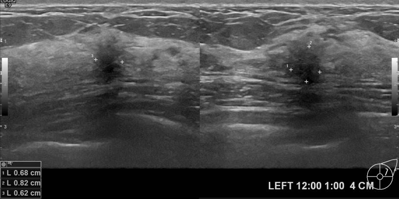
아산유외과 개원후 601번째 유방암 진단
작성자 관리*** 등록일 2018-08-20 14:30:14 조회수 886
첨부파일 첨부파일 없음


외부검사상 이상소견으로 내원하신 40대 여성분으로 좌측유방 의심스러운 혹 조직검사시행해

유방암 진단되었읍니다. 

0개의 코멘트가 있습니다.