암진단 사례

아산유외과
암진단 사례입니다.

내용보기
아산유외과 개원후 600번째 유방암진단
작성자 관리*** 등록일 2018-08-08 12:53:22 조회수 948
첨부파일 첨부파일 없음

 

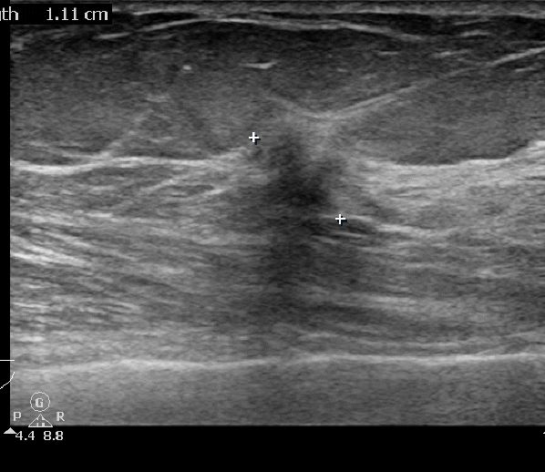
외부검사상 이상소견으로 내원하신 60대 여성분으로

우측유방의 의심스러운 혹 조직검사 시행 후 유방암 진단되었읍니다 

0개의 코멘트가 있습니다.