암진단 사례

아산유외과
암진단 사례입니다.

내용보기
아산유외과 개원후 596번째 유방암진단
작성자 관리*** 등록일 2018-07-16 18:14:48 조회수 893
첨부파일 첨부파일 없음

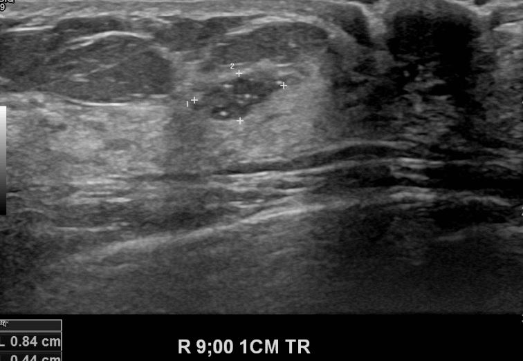
건강검진상 이상소견으로 내원하신 50대 여성분으로 초음파검사후 의심스러운혹

조직검사 시행후 유방암 진단되었읍니다

빠른 쾌유바랍니다. 

0개의 코멘트가 있습니다.