암진단 사례

아산유외과
암진단 사례입니다.

내용보기
아산유외과 개원후 588번째 유방암 진단
작성자 관리*** 등록일 2018-06-07 12:29:57 조회수 926
첨부파일 첨부파일 없음


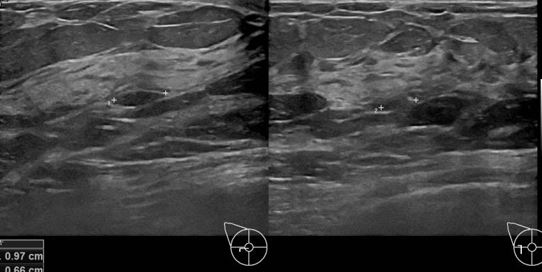
6개월전 부터 유방의 통증이 있어 내원하신 50대 여성분으로 초음파검사이후

의심스러운 좌측의 결절 조직검사후 유방암으로 진단되셨습니다. 

0개의 코멘트가 있습니다.