암진단 사례

아산유외과
암진단 사례입니다.

내용보기
아산유외과 개원후 587번째 유방암 진단
작성자 관리*** 등록일 2018-06-04 12:32:59 조회수 829
첨부파일 첨부파일 없음


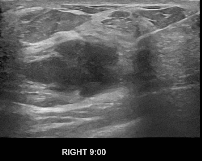
외부검사상 이상소견으로  조직검사위해 내원하신 40대 여성분으로

조직검사결과 유방암 진단되셨습니다 

0개의 코멘트가 있습니다.