암진단 사례

아산유외과
암진단 사례입니다.

내용보기
아산유외과 개원후 584번째 유방암 진단
작성자 관리*** 등록일 2018-05-23 09:34:10 조회수 886
첨부파일 첨부파일 없음


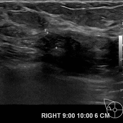
외부병원 초음파 검사상 조직검사권유로 내원하신 70대 여성분으로 

우측유방 조직검사상 유방암으로 진단되었읍니다.

빠른 쾌유 바랍니다. 

0개의 코멘트가 있습니다.