암진단 사례

아산유외과
암진단 사례입니다.

내용보기
아산유외과 개원후 576번째 유방암진단
작성자 관리*** 등록일 2018-04-24 15:05:33 조회수 870
첨부파일 첨부파일 없음

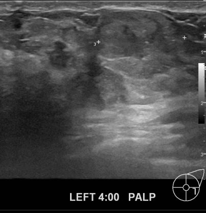
상기 환자 40대여성분으로 건강건진후 이상소견으로 내원하셔셔 좌측에 의심스러운

부분 조직검사 시행후 유방암으로 진단되었읍니다. 

0개의 코멘트가 있습니다.