암진단 사례

아산유외과
암진단 사례입니다.

내용보기
아산유외과 개원후 569번째 유방암진단
작성자 관리*** 등록일 2018-03-28 11:42:03 조회수 853
첨부파일 첨부파일 없음

 

 

 

 

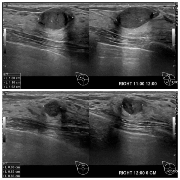
   상기환자 우측 유방에 만져지는 멍울로 내원하신 30대 여성분으로 본원 초음파상 우측 11시에서 12시 방향에 의심스러운 멍울과 우측 12시 방향에서 6cm 떨어진 거리의 멍울 조직검사 시행하여 두곳모두 점액암 진단 되었습니다.

    

0개의 코멘트가 있습니다.