암진단 사례

아산유외과
암진단 사례입니다.

내용보기
아산유외과 개원후 567번째 유방암진단
작성자 관리*** 등록일 2018-03-24 10:37:40 조회수 806
첨부파일 첨부파일 없음


 

 

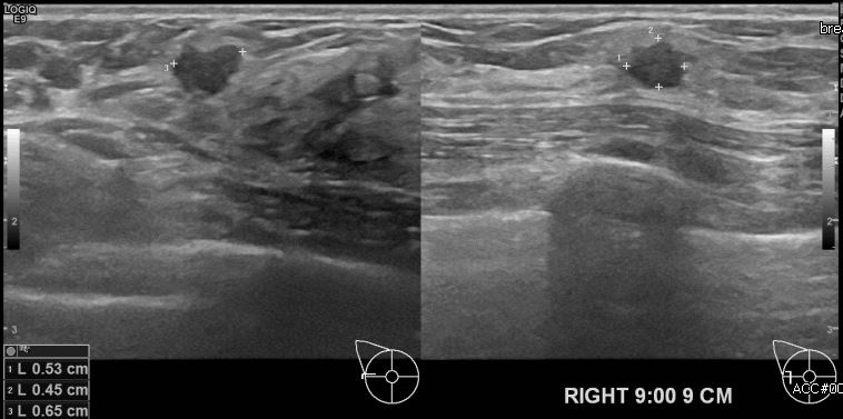
         우측 유방의 멍울로 내원하신 40대 여성분으로 본원 초음파상 우측 9시 방향에

 9cm 떨어진 거리에 의심스러운 멍울 조직검사 시행하여 우측 침윤성 유관암 진단 되었습니다. 

 

0개의 코멘트가 있습니다.