암진단 사례

아산유외과
암진단 사례입니다.

내용보기
아산유외과 개원후 555번째 유방암진단
작성자 관리*** 등록일 2018-02-21 11:29:02 조회수 850
첨부파일 첨부파일 없음

 

 

 

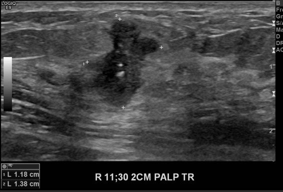
      상기환자 건강건진상 우측 유방 이상소견으로 내원하신 40대 여성분으로 본원 초음파상

   우측유방 11시 30분 방향에서 2cm 떨어진 거리의 만져지는 멍울 조직검사 시행하여

   우측 침윤성 유관암 진단되었습니다.


 

0개의 코멘트가 있습니다.