암진단 사례

아산유외과
암진단 사례입니다.

내용보기
아산유외과 개원후 554번째 유방암진단
작성자 관리*** 등록일 2018-02-19 11:48:31 조회수 886
첨부파일 첨부파일 없음

 

 


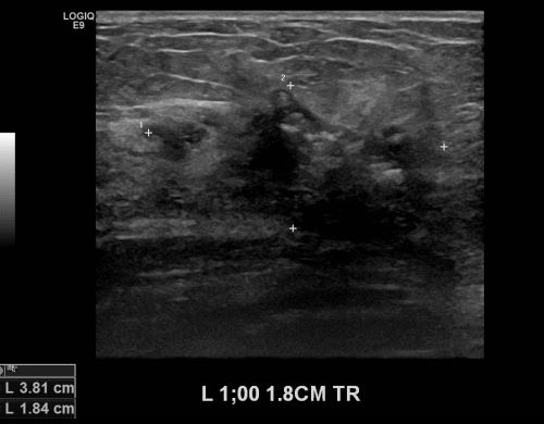
 상기환자 건강건진상 이상 소견으로 내원하신 60대 여성분으로 본원 초음파상 좌측 유방

   1시 방향에서 1.8cm 떨어진 거리의 의심스러운 멍울 조직검사 시행하여 좌측 침윤성

    유관암 진단 되었습니다. 

0개의 코멘트가 있습니다.