암진단 사례

아산유외과
암진단 사례입니다.

내용보기
아산유외과 개원후 552번째 유방암진단
작성자 관리*** 등록일 2018-02-12 12:20:23 조회수 926
첨부파일 첨부파일 없음

 

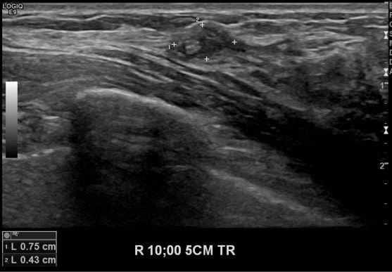
  상기환자 유방의 멍울로 타원 경과관찰 권유받으신 분으로 본원 초음파상 좌측 10시 방향에서 5cm 떨어진 거리의 의심스러운 멍울 조직검사 시행하여 우측 침윤성 유관암 진단되었습니다. 

0개의 코멘트가 있습니다.