암진단 사례

아산유외과
암진단 사례입니다.

내용보기
아산유외과 개원후 551번째 유방암진단
작성자 관리*** 등록일 2018-02-10 12:23:37 조회수 770
첨부파일 첨부파일 없음

 

 

 

 

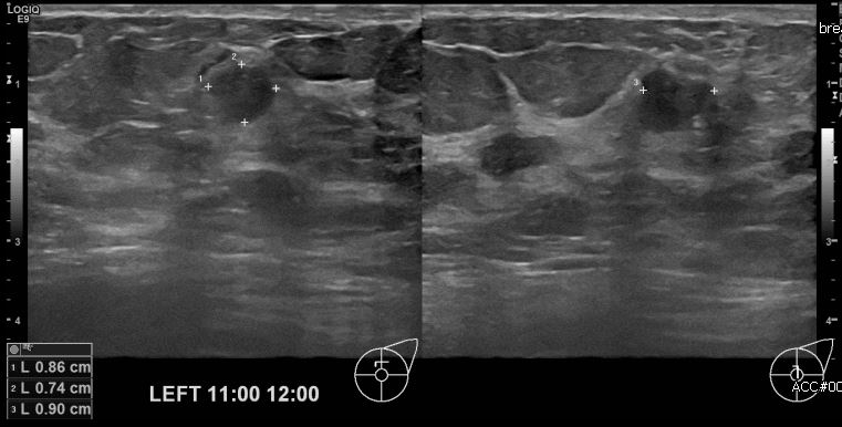
      상기환자 양측 유방의 통증으로 내원하신 60대 여성분으로 본원 초음파상 좌측 11시에서 12시 방향에 으심스러운 멍울 조직검사 시행하여 좌측 점액암 진단되었습니다. 

0개의 코멘트가 있습니다.