암진단 사례

아산유외과
암진단 사례입니다.

내용보기
아산유외과 개원후 548번째 유방암진단
작성자 관리*** 등록일 2018-02-02 11:49:29 조회수 788
첨부파일 첨부파일 없음

 

 

          
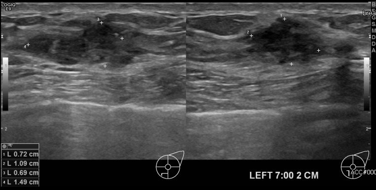
         상기환자 건강검진상 이상소견으로 내원하신 40대 여성분으로 좌측 7시 방향에서

   2cm 떨어진 거리에 의심스러운 멍울 조직검사 시행하여 좌측 유두암 진단 되었습니다. 

0개의 코멘트가 있습니다.