암진단 사례

아산유외과
암진단 사례입니다.

내용보기
아산유외과 개원후 544번째 유방암진단
작성자 관리*** 등록일 2018-01-27 12:04:07 조회수 843
첨부파일 첨부파일 없음


 

 

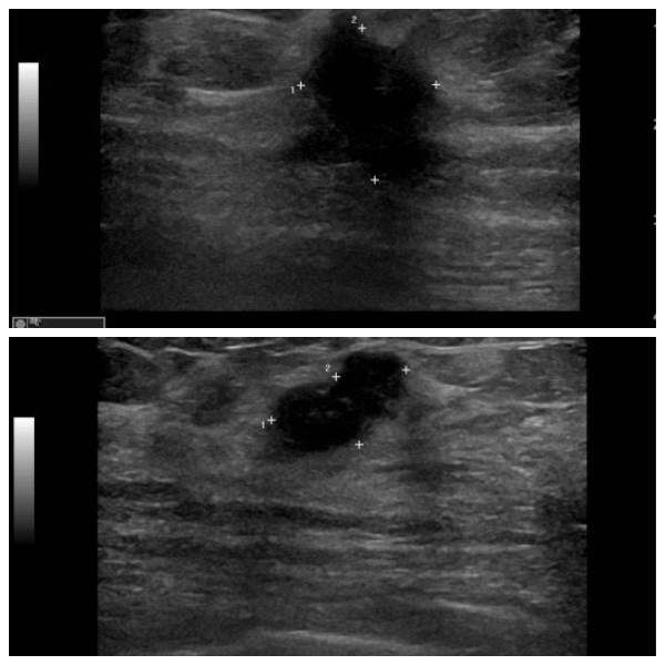
         상기환자    좌측에 만져지는 멍울로 내원하신 60대 여성분으로  좌측 11시 방향에

    만져지는  멍울 조직검사 시행하여  좌측 침윤성 유관암 진단 되었습니다.

 

0개의 코멘트가 있습니다.