암진단 사례

아산유외과
암진단 사례입니다.

내용보기
아산유외과 개원 후 34번째 유방암진단.
작성자 관리*** 등록일 2014-10-17 14:49:33 조회수 886
첨부파일 첨부파일 없음

 

 

우측가슴에 멍우리가 만져지고 찌르는듯한 통증을  

호소하여 내원하신
55
여자분이십니다
.
 


이모님께서 유방암 수술받으신 가족력이 있으신
분으로
촉진만으로도 알수 있을 정도의 큰혹이 만져졌습니다.

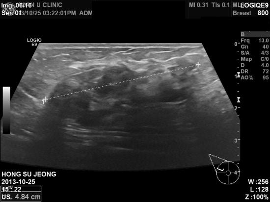
초음파검사상 4.84 cm
혹이있어
, 조직검사결과 침윤성유방암으로
진단되셨습니다

유방암은 대부분 증상 없이 건강검진을 받다가
발견되는 경우도 많지만
,
이처럼 통증이 함께 동반하는
경우도 있습니다
.

그렇기 때문에 유방통증이 있다거나 장기간동안
지속된다면
병원에 내원하여 정확한 검사를통해 원인이 무엇인지 

파악해주는 것이 좋습니다.

환자분의 빠른쾌유를
기도합니다
. 감사합니다.



0개의 코멘트가 있습니다.