암진단 사례

아산유외과
암진단 사례입니다.

내용보기
아산유외과 개원후 529번째 유방암진단
작성자 관리*** 등록일 2017-12-22 12:38:46 조회수 737
첨부파일 첨부파일 없음

 

 

      
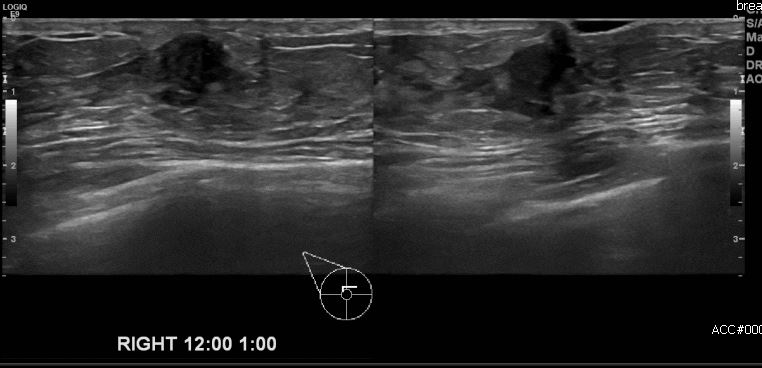
            상기환자 우측 유방에 만져지는 멍울로 내원하시 30대 여성분으로 본원 초음파상    우측 12시에서 1시 방향에 으심스러운 멍울 조직검사 시행하여 우측 침윤성 유관암 진단

되었습니다.

  

0개의 코멘트가 있습니다.