암진단 사례

아산유외과
암진단 사례입니다.

내용보기
아산유외과 개원후 527번째 유방암진단
작성자 관리*** 등록일 2017-12-16 13:04:27 조회수 800
첨부파일 첨부파일 없음

 

 


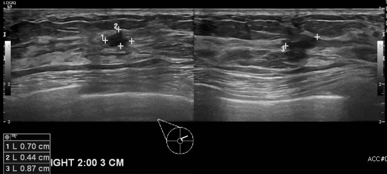
       우측 유방통증으로 내원하신 40대 여성분으로 본원 초음파상 우측 2시방향에서 3cm

  떨어진 거리의 멍울 조직검사 시행하여 우측 침윤성 유관암 진단 되었습니다.

 

0개의 코멘트가 있습니다.