암진단 사례

아산유외과
암진단 사례입니다.

내용보기
아산유외과 개원후 524번째 유방암진단
작성자 관리*** 등록일 2017-12-06 12:20:18 조회수 831
첨부파일 첨부파일 없음

 

 

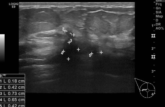
        상기환자 건강검진상 이상 소견으로 내원하신 50대 여성분으로 본원초음파상

     우측 상외측 의심스러운 멍울 조직검사 시행하여 우측 침윤성 유관암진단되었습니다.
 

0개의 코멘트가 있습니다.