암진단 사례

아산유외과
암진단 사례입니다.

내용보기
아산유외과 개원후 523번째 유방암진단
작성자 관리*** 등록일 2017-12-05 10:26:59 조회수 798
첨부파일 첨부파일 없음

 

 

 


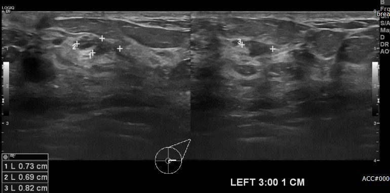
        상기환자 건강검진상 이상소견으로 내원하신 40대 여성분으로 본원 초음파상

     좌측유방 3시 방향에서 1cm 떨어진 거리에 의심스러운 멍울 조직검삼 시행하여

     촤측 침윤성 유관암 진단되었습니다. 

0개의 코멘트가 있습니다.