암진단 사례

아산유외과
암진단 사례입니다.

내용보기
아산유외과 개원후 522째 유방암진단
작성자 관리*** 등록일 2017-12-01 12:03:17 조회수 801
첨부파일 첨부파일 없음

 

 


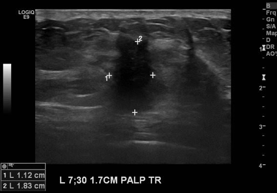
      상기환자 좌측 유방에 만져지는 멍울로 내원하신 40대 여성분으로 좌측 7시 30분

  방향에 만져지는 멍울 조직검사 시행하여 좌측 침윤성 유관암 진단되었습니다. 

0개의 코멘트가 있습니다.