암진단 사례

아산유외과
암진단 사례입니다.

내용보기
아산유외과 개원후 520번째 유방암진단
작성자 관리*** 등록일 2017-11-24 18:22:51 조회수 759
첨부파일 첨부파일 없음


 

            

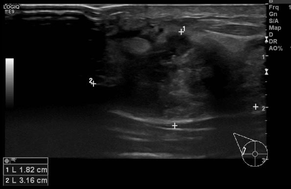
     상기환자 건강검진상 이상소견으로 내원하신 40대 여성분으로 우측 상외측 장경 3.16cm  의심스러운 멍울 조직검사 시행하여 우측 침윤성 유관암 진단 되었습니다. 

 

0개의 코멘트가 있습니다.