암진단 사례

아산유외과
암진단 사례입니다.

내용보기
아산유외과 개원후 40번째 갑상선암진단
작성자 관리*** 등록일 2017-11-21 16:28:45 조회수 805
첨부파일 첨부파일 없음


 

 

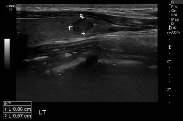
      상기환자 목의 이물감으로 내원하신 40대 여성분으로 본원 초음파상 좌측 갑상선의

  의심스러운 멍울 조직검사 시행하여 좌측 갑상선 유관암 진단 되었습니다. 

0개의 코멘트가 있습니다.