암진단 사례

아산유외과
암진단 사례입니다.

내용보기
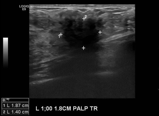
아산유외과 개원후 518번째 유방암진단
작성자 관리*** 등록일 2017-11-18 09:53:19 조회수 863
첨부파일 첨부파일 없음


 

 

        상기환자 유방에 만져지는 멍울로 내원하신 40대 여성분으로 본원 초음파상 좌측 1시

   방향에 만져지는 멍울 조직검사 시행하여 좌측 침윤성 유관암 진단 되었습니다. 

0개의 코멘트가 있습니다.