암진단 사례

아산유외과
암진단 사례입니다.

내용보기
아산유외과 개원후 517번째 유방암진단
작성자 관리*** 등록일 2017-11-15 15:33:16 조회수 822
첨부파일 첨부파일 없음

 

 

 

 

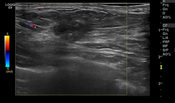
        건강검진상 이상 소견으로 내원하신 40대 여성분으로 우측 유방 10시 30분  방향에

 으심스러운 멍울 조직검사 시행하여 우측 침윤성 유관암 진단 되었습니다.

 

0개의 코멘트가 있습니다.